What Is Insertional Achilles Tendonitis?
If you feel a sharp or nagging pain at the back of your heel, especially where the shoe rubs your foot, you may have insertional Achilles tendonitis.
Achilles tendonitis is a common condition that causes tendon pain, especially among athletes and active individuals. Repetitive loading can irritate the tendon fibres where the Achilles tendon attaches to the calcaneus (heel bone). Over time, the tissue can thicken, become less elastic and develop small calcium deposits near the heel bone. The result is local swelling, stiffness after rest and pain that flares with walking uphill, sprinting, or deep heel drops.
Pain is your body’s way of telling you something is wrong, so listen to it and seek treatment for insertional Achilles tendonitis if you are experiencing symptoms. Thankfully, this condition can be managed with the help of a podiatrist.
Why It Happens
Insertional issues rarely happen from a single event. They follow a pattern of overload that the tendon can’t keep up with. Common triggers include a sudden increase in training volume or intensity, hill repeats, a change to stiffer or minimalist footwear without a facilitated transition, or calf muscle tightness that transfers more tension to the insertion.
Foot mechanics matter too. Overpronation can twist and compress the tendon against the heel bone, while a prominent heel shape can add pressure. Haglund’s deformity is a contributing factor to insertional Achilles tendonitis, as its bony prominence can irritate the tendon insertion.
Age can play a role as the tendon’s collagen remodels more slowly, which is why a gradual build is essential for athletes. Various risk factors, including biomechanical issues and training errors, can increase the likelihood of developing insertional Achilles tendonitis.

Achilles Tendon Pain to Look For
Typical signs include focal tenderness at the back of the heel, swelling that makes closed-back shoes uncomfortable, stiffness when you stand after sitting and sometimes a sharp pain at the Achilles tendon insertion. For some, it can feel like a bruise, or the pain eases after a warm-up but returns later in the day. Some people notice a small bony bump that catches the shoe. The pattern of aches with walking up an incline is a classic sign of Achilles tendon insertion pain.
Getting The Diagnosis Right
A podiatric assessment starts with a careful history and examination to map exactly where it hurts. We review ankle range, including a specific evaluation of ankle dorsiflexion as part of the physical exam, calf flexibility and foot posture, then watch how you load during walking or running.
At The Foot Practice, we often use RehaWalk® pressure-sensor treadmill gait analysis to quantify how forces are distributed through the foot and where the Achilles tendon works hardest, which helps tailor loading changes. Imaging is reserved for persistent or complex cases. Ultrasounds can show tendon thickening and calcific changes; X-rays reveal bone spurs; and magnetic resonance imaging is helpful when a partial tear is suspected.

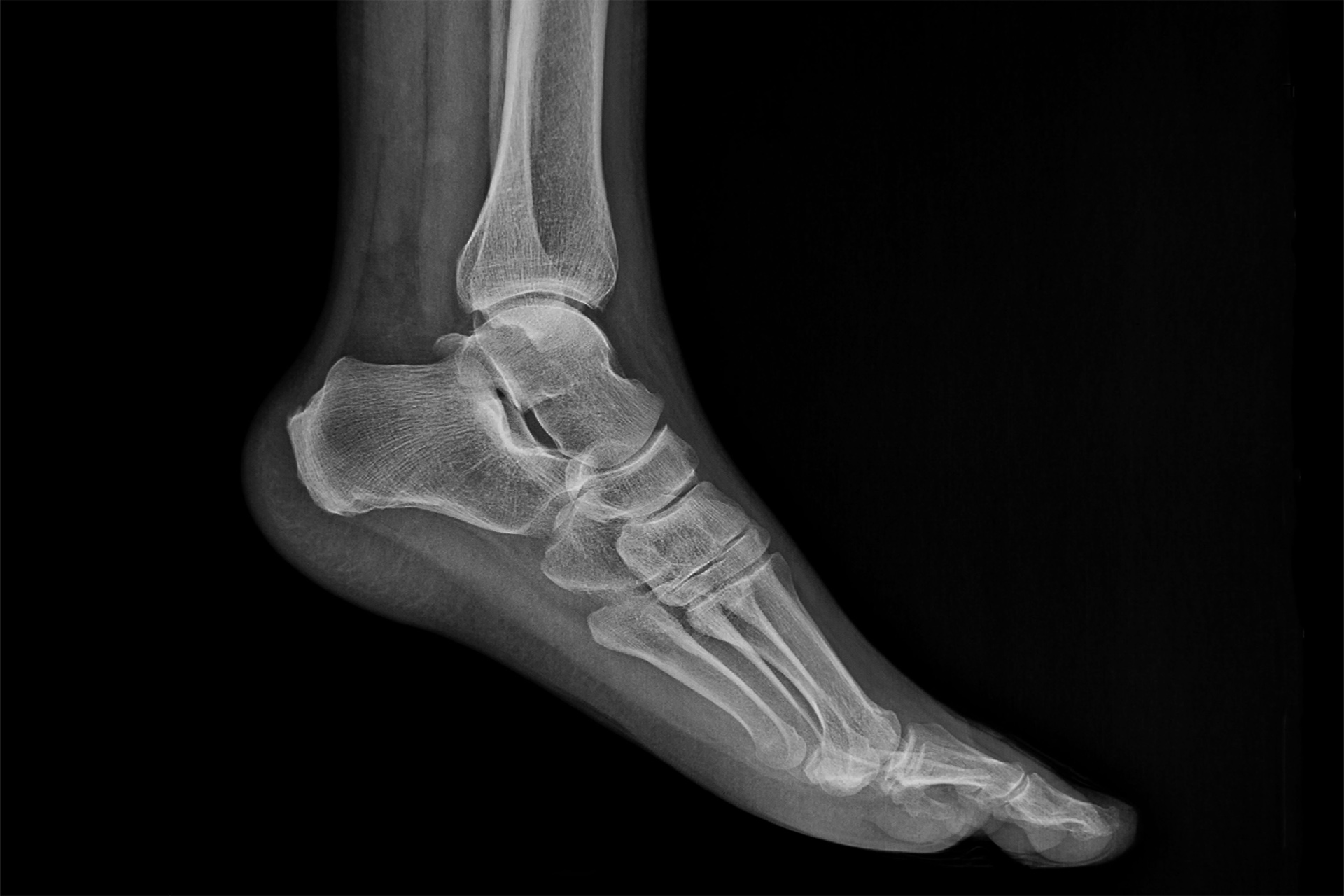
The Role of the Bone Spur in Achilles Tendinopathy
Bone spurs, or bony growths that develop on the heel bone, are common in insertional Achilles tendinopathy. These bone spurs can rub against the Achilles tendon where it inserts into the heel, causing increased irritation, inflammation and tendon pain. It’s important to understand that not every bone spur causes symptoms. Some people may have bone spurs without any Achilles tendon pain.
In many cases, the discomfort is actually due to underlying tendon degeneration or altered foot mechanics rather than the bone spur itself. As such, treatment for insertional Achilles tendinopathy is usually focused on reducing tendon inflammation, improving tendon structure and correcting contributing factors rather than removing the bone spur.
What Works in Insertional Achilles Tendonitis Treatment
The good news is that most people don’t need surgery. Nonsurgical treatment is the mainstay for most cases of insertional Achilles tendinopathy. Success comes down to three tenets. First, the irritated insertion must be calm while you move. Second, capacity in the calf–Achilles complex must be restored with smart, progressive loading. Third, the triggers must be addressed so you don’t bounce back into the same pattern. Nonsurgical treatments include rest, activity modification and physical therapy.
Early insertional Achilles tendonitis pain relief focuses on relative rest from provoking tasks such as steep hills, high-impact jumps and deep heel drops. Working with a podiatrist is important to tailor your exercise and loading program to your needs and to avoid worsening your pain. Load is reduced, rather than stopping activity.
Cycling, pool running and level walking are useful placeholders. Short-term heel lifts can ease compression at the insertion in daily shoes, providing many with instant relief from Achilles tendon pain for day-to-day tasks. And, footwear matters. A slightly higher heel-to-toe drop and a softer heel counter reduce pressure on the sore area while the tendon settles, but certain activities or shoes can make pain worse if not properly managed.

Insertional Achilles Tendonitis: Shockwave and Manual Therapy
Manual therapy can help stiff ankles and tight soft tissue, so loading drills feel smoother. If symptoms persist, Shockwave Therapy can stimulate healing in degenerative portions of the insertion and reduce pain enough to continue rehab. In addition to pain relief, Shockwave Therapy is known to promote tendon healing, supporting recovery and safe return to activity. When used judiciously, it often shortens the time to meaningful improvement.
Night Support, Taping, and Medicines
Night splints can be helpful for morning stiffness in selected cases, particularly when calves are very tight. However, it should not force the ankle into extreme dorsiflexion. When used for short periods, splints complement exercise by maintaining gentle length without compressing the insertion. People often ask if an insertional Achilles tendonitis night splint can replace rehab. It can’t. It’s a comfort add-on, but not a cure.
Non-steroidal anti-inflammatory drugs (NSAIDs), such as ibuprofen or naproxen, can help manage pain and inflammation in the early stages of injury. Still, they are not a solution for a damaged tendon or tissue.
Doctors often may avoid steroid injections into the tendon due to the risk of rupture at the insertion. In chronic or severe cases, a damaged tendon may require more advanced interventions. The goal of these more invasive therapies is to repair damaged tissue and support tendon healing, but the cornerstone remains progressive loading.

Supportive Footwear and Orthoses
Supportive footwear and orthotic devices are important in the recovery from insertional Achilles tendinopathy. Shoes with a slightly higher heel can help reduce strain on the Achilles tendon where it attaches to the heel bone, making daily activities more comfortable. Custom orthotics are often recommended to address abnormal foot mechanics that may be contributing to that Achilles tendon ache, helping to redistribute pressure and support proper alignment.
Avoid flat shoes or those without adequate arch support, as these can increase stress on the Achilles tendon and slow healing. In some cases, ankle braces or other supportive devices may be used temporarily to enhance stability and comfort as the tendon heals.

Surgical Options
When conservative treatments such as physical therapy, footwear modifications, and Shockwave Therapy don’t provide sufficient relief, surgical intervention may be considered for insertional Achilles tendinopathy. The goal of surgery is to remove damaged or degenerated portions of the Achilles tendon, address any tears, and promote healing at the tendon’s insertion.
Surgical options include open surgery, where the surgeon makes an incision to directly access and repair the tendon and percutaneous tenotomy, where small punctures are made to treat the tendon with minimal disruption. In some cases, a gastrocnemius recession may be performed to lengthen the calf muscle, reduce tension on the Achilles tendon, and prevent further injury. The choice of procedure depends on the extent of tendon damage and the individual patient’s needs to restore function and reduce pain at the Achilles tendon insertion.
Rehab that Respects Insertional Achilles Tendinopathy
Patients often search online for insertional Achilles tendinopathy treatment exercises and get conflicting advice. The key is context. Sets, tempo and weekly progression are set to your symptoms and strength, not a generic plan. Working with a podiatrist ensures proper technique, progression and exercise selection tailored to your needs. When the basics are correct, these targeted drills become the best insertional Achilles tendonitis treatment because they rebuild capacity at the exact site that failed.
Strengthening is essential, but it must be shaped to the anatomy. Eccentric strengthening exercises, such as slow, controlled lowering during calf raises, are a cornerstone of tendon rehabilitation and have been shown to improve tendon healing. Traditional heel drops below a step can pinch the tendon against the heel bone, increasing tendon compression, which should be avoided in insertional cases. In these cases, we start on level ground and build range only to neutral.
Careful calf raises with a slow lower phase improve tendon tolerance without compressing the attachment. This is the foundation of insertional Achilles tendinopathy treatment exercises. At The Foot Practice, we use the RehaWalk data to grade starting loads and progressions, then advance from double-leg to single-leg work, add isometrics for pain control and later integrate plyometrics on the flat before re-introducing hills.

Returning to Running and Sport
Once daily walking is comfortable, and you can do single-leg calf raises without a pain spike, we recommend a staged return. We keep you on a flat surface at first, then add short intervals, then steady runs and only later introduce hills. Runners who love the Bukit Timah climbs can return, but the gradient and volume must be calibrated. Each step is measured by symptoms over the next 24 to 48 hours, not by what feels fine in the moment.

How to Prevent Recurrence
The tendon needs regular year-round strength work, including exercises targeting leg muscles and supporting healthy Achilles tendons. Two brief calf sessions a week at The Foot Practice will keep problems at bay. Incorporating plyometric exercises that utilise the stretch-shortening cycle can further enhance injury prevention by improving the tendon’s ability to absorb and release energy during explosive movements. Rotate your shoes, especially if your work dress shoes are firm at the heel. Save racing flats or minimalist options for races and speedwork once your heels are healthy again.
Build changes slowly. If you are increasing mileage for the Standard Chartered Singapore Marathon or ramping trails at Dairy Farm, add only one variable at a time. Balanced training is essential to protect every portion of the tendon and reduce the risk of injury. And if Achilles tendon insertion pain flickers, scale back early rather than waiting for a full flare-up.
FAQs about Achilles Tendonitis
What is the best treatment for insertional Achilles tendonitis?
What to do at home while I wait for an appointment?
Keep activities on the flat, avoid deep heel drops, put a small temporary heel lift in your daily shoes and start gentle isometric calf holds. This is a safe introduction while you plan proper management for insertional Achilles tendonitis. If pain is high, ice or topical anti-inflammatories may offer short-term relief, but the foundation remains progressive exercise. Eccentric strengthening exercises, ideally guided by a podiatrist, are often recommended as part of home care to promote tendon healing.
Do I need imaging first?
Not usually. Imaging is indicated when symptoms are atypical, a partial tear is suspected, or months of diligent rehab have not changed the picture.
Where do night splints fit in?
A well-fitted insertional Achilles tendonitis night splint can reduce morning stiffness in the short term, especially for very tight calves. It should complement, not replace, insertional Achilles tendonitis treatment exercises.
Is Shockwave Therapy right for my insertional Achilles tendonitis pain?
If symptoms persist despite well-executed rehab, Shockwave Therapy can be added. Many people look up insertional Achilles tendonitis treatment with Shockwave Therapy because it is widely used in sports medicine. We consider it case by case, explain realistic expectations and always combine it with loading.
Putting It All Together
Insertional Achilles tendonitis improves when you reduce compressive stress at the heel, rebuild capacity with targeted strength work, and address the triggers that started it in the first place. For most patients, non-surgical treatment is the first approach, including rest, ice, physical therapy, orthotic adjustments and splinting. That’s why a podiatry-led pathway works. It connects careful diagnosis, footwear and gait expertise, custom orthoses where necessary, mobilisation exercises that respect the insertion, and a stepwise progression of calf loading.
Surgery, specifically Achilles tendon surgery, is usually recommended for patients who don’t see improvement after 3-6 months of non-surgical treatment. Within this plan, there is still room for your goals, whether that is pain-free walks along the Park Connector Network or a confident return to racing.
If you have been struggling for weeks and are unsure how to treat insertional Achilles tendonitis without setting it off again, book a comprehensive assessment at The Foot Practice. We combine RehaWalk pressure-sensor treadmill gait analysis, footwear assessments, tailored insertional achilles tendonitis treatment exercises and targeted modalities to deliver steady, sustainable change. You will leave with a clear plan for the management and ongoing prevention of insertional achilles tendonitis, not just short-term relief.
Contact The Foot Practice today to make your appointment and take the right step forward.